Laura Capasso, William Alexander Donald and Merryn Baker looking at equipment that analyses breath samples for early detection of silicosis in a lab in School of Chemistry Laura Capasso, William Alexander Donald and Merryn Baker looking at equipment that analyses breath samples for early detection of silicosis in a lab in School of Chemistry

AI-powered breath test could detect silicosis early: study

Play icon
Lachlan  Gilbert
Lachlan Gilbert,

The new test for silicosis has shown promise in an early study, and is now being analysed in larger cohorts.

A new diagnostic tool developed by physicians and scientists from UNSW Sydney that analyses a person’s breath for signs of silicosis has the potential to catch the disease earlier rather than wait for irreversible lung damage to appear.

In a study published today in the Journal of Breath Research by Professor William Alexander Donald and Conjoint Professor Deborah Yates, the researchers describe a rapid, AI-powered breath test that could transform the way silicosis is diagnosed. The test combines mass spectrometry – a scientific technique that analyses molecules – and AI to rapidly detect silicosis from breath samples, providing a fast and non-invasive diagnostic tool for at-risk workers.

Silicosis, which is a lung disease caused by inhaling tiny crystalline particles of silicon dioxide, is a major occupational health concern in Australia, with cases now extending beyond engineered stone workers to workers in tunnelling and construction. The Australian government has responded with a ban on engineered stone, but with new cases emerging from other high-risk industries, there is an urgent need for better diagnostic tools.

Unlike traditional methods such as X-rays and CT scans that detect silicosis at later stages, the UNSW-developed test provides results in minutes.

“Our study shows that the AI-driven model accurately distinguished silicosis patients from healthy individuals based on their breath profiles, providing a reliable tool for early detection, “ lead researcher Prof. Donald from UNSW’s School of Chemistry says.

“This suggests that breath testing could be a practical tool for large-scale worker screening and early intervention.”

Media enquiries

Lachlan Gilbert
Tel: +61 2 9065 5241
Email: lachlan.gilbert@unsw.edu.au


Postgraduate student Laura Capasso, Prof. William Alexander Donald and study lead author Merryn Baker look at results of breath samples analysed by AI for early detection of silicosis in a UNSW Chemistry laboratory. UNSW Sydney/Richard Freeman
By combining advanced chemical analysis techniques with AI, it means we can now detect silicosis in minutes rather than waiting for irreversible lung damage to appear on scans.
Professor William Alexander Donald

How it works

The study analysed breath samples from 31 silicosis patients and 60 healthy controls, confirming the test’s ability to differentiate between affected and unaffected individuals with high accuracy.

To be tested for silicosis using the new technology, participants breathe into a bag. The breath content then gets pushed to a mass spectrometer which detects all the different molecules present.

“In human breath, there are thousands of organic molecules that you breathe out,” Prof. Donald says.

“Our instrument can make a profile of the someone’s breath, and then we feed that into an artificial intelligence algorithm that’s really good at finding patterns. In this case, it’s looking for patterns in the organic compounds that are present in the breath of people in the early stages of silicosis. And we’re getting very high accuracies, like over 90% accuracy, for just such a simple, non-invasive breath test.”

The entire breath sampling and analysis process takes less than five minutes per patient, making it suitable for routine screening of at-risk workers.

"By combining advanced chemical analysis techniques with AI, it means we can now detect silicosis in minutes rather than waiting for irreversible lung damage to appear on scans," Prof. Donald says.

The researchers emphasise that while the breath test shows great promise, further validation in larger cohorts is needed before it can be implemented as a routine screening tool. The instrument is a compact benchtop system, occupying less than a cubic meter, making it feasible for installation in clinical settings for point-of-care testing. While breath samples are currently collected in clinics and transported to the lab for analysis, future implementation could enable direct, on-site testing.

“We’ve now installed this testing at a second site to test its effectiveness with hundreds of at-risk workers, including coal miners to further validate its effectiveness,” Prof. Donald said.

Future studies will refine the technique, integrate it into screening programs for silica-exposed workers, and explore its ability to differentiate silicosis from other lung diseases.

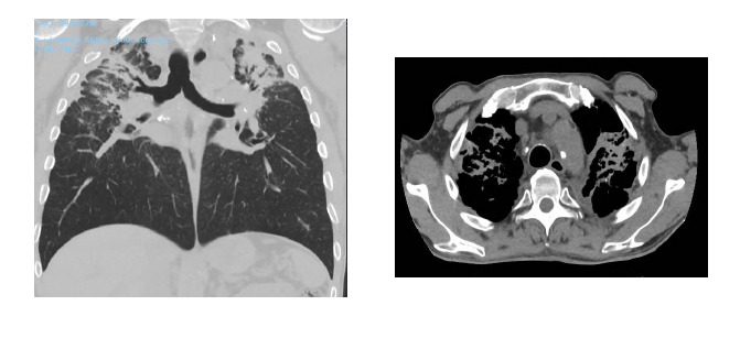
CT scans of a tunneller diagnosed with silicosis. The light grey areas at the top part of the lungs represent severe scar-tissue. UNSW Sydney/Deborah Yates

Early detection

Prof. Yates has seen many cases of silicosis as a clinician. Silicosis is an incurable and totally preventable disease which only has one cause – the inhalation of excess respirable free silica dust. Silica dust exposure occurs in a wide variety of different jobs from tunnelling and stone benchtop work to construction and tiling.

“There are three stages of silicosis,” says Prof. Yates.

“It can be difficult to diagnose such patients, especially in the early stages of disease. Sometimes a biopsy is needed, which is invasive and expensive.

“So it is crucial to detect affected workers early and remove them from further silica exposure in order to stop the progression of their disease.”

There is no cure for silicosis and in its worst stages, it is fatal. Lung transplantation is a rare option for silicosis but is a scarce resource and not every patient is suitable.

“Currently in NSW, workers are increasingly being diagnosed with silicosis at younger ages, reflecting excess dust exposures,” Prof. Yates says.

In addition to silicosis, there are several other diseases which can arise from silica exposure including lung fibrosis, chronic obstructive pulmonary disease, lung cancer, and autoimmune diseases like rheumatoid arthritis and scleroderma.

“Breath testing is a new and simple technique for patients and doctors but has been valuable in other lung diseases such as asthma. It could provide the non-invasive method needed to monitor such workers for development of silicosis. Although this research is yet in its early stages and will need further development, it provides a ‘breath of hope’ for the future,” Prof. Yates says.

This research was supported by the iCare Dust Diseases Board through a Discovery and Innovation grant.

Merryn Baker and Laura Capasso at a clinic in Sydney where engineered stone worker Angus Read provides a breath sample to be analysed for signs of silicosis. UNSW Sydney/Richard Freeman