Researchers uncover potential mechanism driving treatment resistance in common breast cancer

2025-08-19T09:45:00+10:00

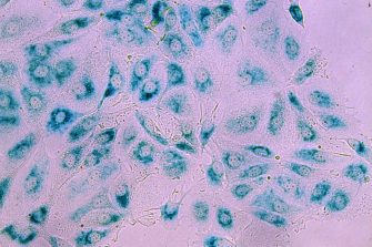
Breast cancer cells in their 'sleeping' state (senescence) after treatment. When the JNK pathway is disrupted, cancer cells fail are less likely to enter this state and continue dividing, leading to therapy resistance.

Breast cancer cells in their 'sleeping' state (senescence) after treatment. When the JNK pathway is disrupted, cancer cells are less likely to enter this state and instead continue dividing, leading to therapy resistance.

Garvan Institute / UNSW Media
Garvan Institute / UNSW Media,

Scientists have discovered what allows a type of breast cancer cell to evade treatment.

A study led by researchers at the Garvan Institute of Medical Research and UNSW Sydney has uncovered why some breast cancers become resistant to treatment, potentially opening the door to more effective therapies for patients.

Published this week in the Journal of Experimental & Clinical Cancer Research, the study reveals how disrupting a cellular stress response system allows estrogen receptor-positive (ER+) breast cancer cells to evade treatment.

ER+ breast cancer accounts for approximately 70% of all breast cancer diagnoses. While often considered to have a better prognosis than other types of breast cancer, it still accounts for more than 2000 deaths per year in Australia. In most cases, this mortality is caused by resistance to endocrine therapies, leading to metastatic recurrence after what appeared to be successful initial treatment.

Recently, CDK4/6 inhibitors combined with endocrine therapy were approved as first-line therapy for high-risk ER+ breast cancer patients in Australia. While this combination has significantly improved survival rates, some patients still don’t respond, and the exact mechanisms behind drug resistance remain unclear. Understanding these mechanisms is therefore crucial for improving outcomes.

Muting the cell’s stress response system

The JNK pathway acts like a cellular alarm system – when cells experience stress, such as from cancer treatments, it helps trigger processes that either kill the damaged cells or stop them from dividing. The research team found that when this pathway is inactivated, cancer cells develop resistance to the combination of endocrine treatment and CDK4/6 inhibitors.

Lead author of the study, UNSW Conjoint Associate Professor Liz Caldon, says it’s clear the pathway plays a crucial role in how cancer cells respond: “We’ve identified a mechanism behind treatment resistance in ER+ breast cancer. When key genes in this pathway, including one called MAP2K7, are not functioning properly, breast cancer cells no longer receive the message to stop growing or die, even when damaged with therapy.”

Lead researchers Liz Caldon and Sarah Alexandrou. Photo: Garvan Institute

From lab discovery to potential impact

To identify which genes influence treatment response, the team performed a genome-wide CRISPR screen, where each gene in the genome is systematically turned off.

“When we knocked out genes involved in the JNK pathway, cancer cells continued to grow despite treatment,” says the study’s first author, UNSW Conjoint Lecturer Dr Sarah Alexandrou. “These cells also spread to form more metastases in preclinical models.”

To validate the findings, they analysed tumour samples from 78 patients with ER+ breast cancer who had received treatment. Those whose tumours had low activity of the JNK pathway were less likely to respond well.

“As the combination of endocrine therapy and CDK4/6 inhibitors becomes more widely used for breast cancer, doctors urgently need ways to identify who is at most risk of disease progression during their care,” A/Prof. Caldon says. “By screening for JNK activity levels in people with high-risk ER+ breast cancers, we have the potential to identify those who would likely not respond to this combination treatment and direct them instead to other treatments that may have better health outcomes.”

Challenging previous understanding

While the JNK pathway has often been considered cancer-promoting in some contexts, this study shows it can also act as a tumour suppressor in ER+ breast cancer.

“Too much and too little JNK activity can be problematic – in the context of response to endocrine therapy and CDK4/6 inhibitors, loss of the pathway is clearly detrimental to treatment effectiveness by driving resistance,” says Dr Alexandrou.

The team is now investigating what alternative treatments might work for patients with low JNK pathway activity, hoping to develop therapeutic approaches tailored to this group.

“The ultimate goal is to be able to test a patient’s tumour for JNK activity before treatment, allowing doctors to select the most effective therapy for each individual,” says A/Prof. Caldon. “For those with an intact JNK pathway, combination endocrine therapy and CDK4/6 inhibition is more likely to be effective. For others, we are working on identifying alternative treatments.”

Media enquiries

Ana Porta Cubas, Garvan Institute of Medical Research

a.portacubas@garvan.org.au or tel: + 61 2 9295 8209 | +61 425 317 490

Brittany Cooper, Garvan Institute of Medical Research

b.cooper@garvan.org.au or tel: + 61 2 9295 8377